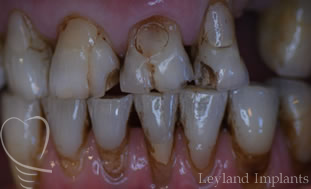
Crowns and bridges
If you have lost a tooth, there are three ways you can fill the gap; dental implants, a fixed bridge or a partial denture. Bridges can be used to fit a replacement tooth or teeth to adjacent teeth. This treatment is cost effective, relatively long lasting and the false tooth will blend in perfectly with your natural teeth.
Crowns provide a solution to broken teeth, teeth weakened by decay or teeth that require a large filling.
Rest assured that regardless of your problem, dentist David Quinn, will recommend solutions that reflect your budget and aesthetic desires.
The benefits of crowns and bridges
- Restore the function of your mouth
- Improve the appearance of discoloured fillings with natural-looking and longer-lasting porcelain crown
- Protect your newly treated root filling with a crown
- Help hold a bridge or denture firmly in place
Before and after
